Künstlicher Gelenkersatz
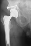
Bei einer fortgeschrittenen Arthrose des Hüftgelenks ist die Implantation einer "künstlichen Hüfte" - bestehend aus Spezialkunststoffpfanne und Titanhüftkopf - die Methode der Wahl. In der Regel wird diese zementfrei eingebracht.
Die Haltbarkeit einer künstlichen Hüfte ist von verschiedenen Faktoren, auch vom Körpergewicht, abhängig. 10 Jahre nach "Einbau" sind jedoch praktisch alle zementfrei eingebrachten Implantate noch voll funktionsfähig. Viele Hüften halten 15 - 20 Jahre. Manche auch noch länger.
In Ausnahmefällen (bei sehr betagten Patienten, die nach der Operation auf sofortige Vollbelastung angewiesen sind) verwenden wir den Geradschaft nach Maurice E. Müller - ein zementierten Hüftschaft, der bereits über 1 Million mal weltweit implantiert wurde, und auch eine sehr lange Haltbarkeit aufweist.
Wichtig bei Implantation der künstlichen Hüfte ist auch der subtile und schonende Umgang mit den Weichteilen (Muskeln und Sehnen). Wir verwenden einen speziellen minimalinvasiven seitlichen Zugang zum Hüftgelenk, bei welchem es nicht notwendig ist, Muskeln von Ihrem Ansatz zu lösen. Die Muskulatur ist somit in Ihrer Funktion kaum beeinträchtigt, was zu einer zügigen Rehabilitation maßgeblich beiträgt.



